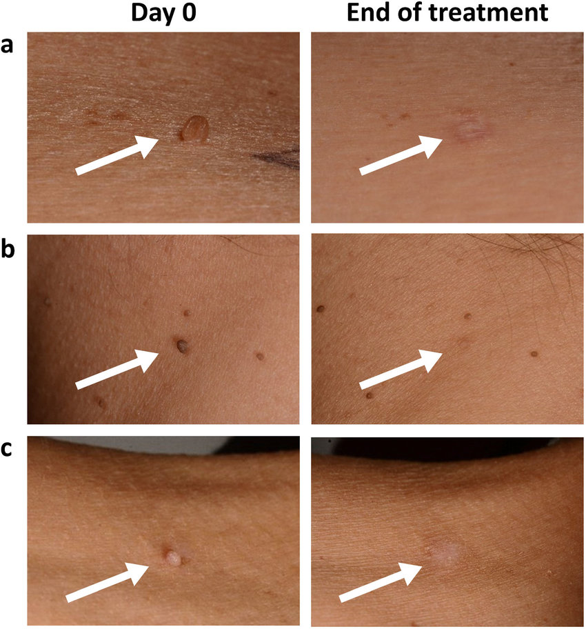
What is Skin Tag Treatment?
Don't let skin tags get in the way of your beauty game! Skin tag treatment is a safe and easy way to remove these little bumps from your skin, leaving you with a flawless complexion. Skin tag treatment typically involves removing the tag by cutting it off with scissors or a scalpel, freezing it with liquid nitrogen, or burning it off with an electric current. Consult a dermatologist today to find the right treatment for you.
Benefits of Skin Tag Treatment
Improved appearance and confidence.
Pain-free removal procedure.
No scarring or damage to surrounding skin.
Low risk of complications or infections.
Immediate results and relief.
Cost-effective and affordable options available.
Can prevent skin irritation and discomfort.
Boosts overall skin health and hygiene.
Allows for easier application of makeup and skincare products.
easier application of makeup and skincare products.
If you're looking for a safe, effective, and hassle-free skin tag treatment, 360 is the ultimate choice. Our experienced and highly trained medical staff use the latest techniques and advanced technology to provide you with the most effective and efficient skin tag removal.
Our skin tag removal procedure is quick, painless, and minimally invasive, allowing for a quick recovery with no downtime. We don’t only work on removing the skin tags but understanding the root cause and suggestion prevention techniques so they don’t appear again. We offer affordable and cost-effective skin tag removal options that fit your budget and financial needs.
Don't let skin tags hold you back. Choose 360 for safe, effective, and affordable skin tag treatment and reclaim your flawless, beautiful skin today!
